Средостение — это анатомическое пространство, серединная область грудной клетки. Данное пространство сзади ограничено позвоночником, а спереди — грудиной. По бокам от средостения находятся плевральные полости. В настоящее время анатомы разделяют данный орган на нижнее, верхнее, заднее, среднее и переднее средостение.
Краткое описание средостения
Заднее средостение в передней части ограничено перикардом и трахеей, а в задней — позвоночником. В этом отделе органа находится грудной лимфатический проток, нисходящая аорта, непарная и полунепарная вены, пищевод и задние лимфоузлы средостения.
Строение среднего средостения: полые вены, сердце, плечеголовной ствол и плечеголовные вены, трахея, главные бронхи, легочные артерии и вены, восходящая аорта, дуга аорты и диафрагмальные вены.
Переднее средостение сзади ограничено плечеголовным стволом, плечеголовными венами и перикардом, а спереди – грудиной. В этом пространстве расположены лимфоузлы средостения, грудная артерия, внутренние грудные вены и вилочковая железа (тимус).
Нижнее средостение делится на заднюю, среднюю и переднюю части. Оно ограничено верхними краями перикарда и диафрагмы.
Верхнее средостение обладает всеми анатомическими структурами, которые находятся выше верхнего края перикарда. Оно ограничивается верхней апертурой грудины и линией, проведенной между межпозвонковым диском Th4-Th5 и углом грудной клетки.
Средостение, расположенное между легкими, играет ключевую роль в функционировании органов грудной клетки. Врачи подчеркивают важность его анатомии и физиологии для диагностики различных заболеваний. Например, увеличение лимфатических узлов в средостении может указывать на инфекционные или онкологические процессы. Специалисты также отмечают, что средостение может быть затронуто при травмах, что требует внимательного подхода к диагностике и лечению. Современные методы визуализации, такие как КТ и МРТ, позволяют врачам более точно оценивать состояние средостения и выявлять патологии на ранних стадиях. Важно, чтобы пациенты обращались за медицинской помощью при появлении симптомов, таких как кашель или боль в груди, так как это может быть связано с проблемами в этой области.

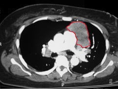
Новообразования средостения
Новообразованиями вышеуказанного анатомического пространства являются как истинные опухоли средостения, так и отличные по локализации, протеканию и этиологии кисты и опухолевые недуги. Каждое новообразование этого органа формируется из тканей разного происхождения, объединяясь лишь анатомическими границами.
Новообразования средостения подразделяются на:
- Псевдоопухолевые заболевания (паразитарные кисты, болезнь Бенье-Шаумана, пороки развития крупных сосудов, поражение лимфоузлов средостения при туберкулезе и проч.).
- Первичные новообразования.
- Опухоли органов, которые входят в средостение.
- Вторичные злокачественные новообразования (метастазы опухолей органов, которые находятся в лимфатических узлах средостения).
- Опухоли тканей, ограничивающих средостение.
Клиническая картина новообразований средостения
Судя по отзывам медспециалистов, опухоли средостения выявляются, как правило, в среднем и молодом возрасте. Новообразования данного органа могут долгое время не проявлять себя. Они в большинстве случаев обнаруживаются на профилактических исследованиях.
Главными симптомами, характеризующими болезни средостения, являются:
- Западение глазного яблока, опущение века и расширение зрачка (опухоль, образовавшаяся в пограничном симпатическом стволе).
- Осыплость голоса наблюдается при поражении возвратного гортанного нерва.
- Нарушение прохождения еды по горлу.
- Шум и тяжесть в голове, боли в груди, отечность и синюшность лица, одышка, набухание вен шеи и груди.
- Неинтенсивные боли в месте новообразования, которые могут отдавать в межлопаточную область, плечо и шею.
Поздние стадии заболеваний вышеуказанного органа характеризуются общей слабостью, повышением температуры тела, отеками конечностей, нарушением сердечного ритма и артралгическим синдромом.
Лечение новообразований средостения исключительно хирургическое.
Средостение — это область, расположенная между легкими, и играет ключевую роль в функционировании дыхательной системы. Многие люди не задумываются о его значении, пока не столкнутся с проблемами, связанными с этим участком. Врачебные обсуждения часто касаются заболеваний, таких как медиастинит или опухоли, что вызывает у пациентов тревогу. Однако, несмотря на серьезность этих заболеваний, многие отмечают, что своевременная диагностика и лечение могут значительно улучшить прогноз. Также в средостении находятся важные структуры, такие как сердце и крупные сосуды, что делает его изучение актуальным для кардиологов. В целом, люди осознают, что здоровье средостения напрямую влияет на общее состояние организма, и важно заботиться о нем, проходя регулярные медицинские обследования.

Лимфаденопатия средостения
Лимфаденопатия (увеличение лимфатических узлов) средостения наблюдается, как правило, при лимфомах, метастазах карциномы и некоторых других неопухолевых заболеваниях (туберкулез, саркоидоз и проч.).
Лимфаденопатия средостения сопровождается следующими симптомами:
- Увеличение лимфатических узлов средостения.
- Потеря массы тела.
- Потливость.
- Повышение температуры тела.
- Развитие инфекций верхних дыхательных путей (ангина, тонзиллит, фарингит).
- Спленомегалия.
- Гепатомегалия.
Комментарии (1)
Евгений
Спасибо за информацию
Читать все комментарии
Вопрос-ответ

Что такое средостение?
Средостение представляет собой центральное пространство грудной клетки между двумя плевральными полостями. Оно ограничено грудиной спереди, позвоночником сзади и медиастинальной плеврой – по бокам, сверху оно связано с шеей через верхнюю апертуру грудной клетки, а снизу ограничено диафрагмой.
Какие органы относятся к органам средостения?
Средостение — область грудной полости между легкими, грудиной, позвоночником и ребрами. Органы и структуры этого анатомического отдела — трахея, пищевод, вилочковая и щитовидная железы, сердце, аорта.
Можно ли вылечить рак средостения?
При своевременном выявлении рака тимуса вероятность благоприятного исхода составляет 68%. Опухоли средостения (рак тимуса) возможно вылечить, но при условии своевременного выявления. Хирургический метод и последующая химиотерапия дают возможность полностью выздороветь.
Что за болезнь средостения?
Опухоли средостения — понятие, объединяющее доброкачественные и злокачественные новообразования, локализованные в средней (медиастинальной) части грудной клетки между плевральными полостями. Здесь находятся легкие и трахея, сердце, аорта, многие артерии, пищевод, тимус (вилочковая железа), лимфоузлы.
Советы
СОВЕТ №1
Изучите анатомию средостения, чтобы лучше понять его функции и расположение. Знание основных структур, таких как сердце, трахея и лимфатические узлы, поможет вам осознать, как они взаимодействуют и влияют на здоровье.
СОВЕТ №2
Регулярно проходите медицинские обследования, особенно если у вас есть предрасположенность к заболеваниям органов средостения. Это поможет выявить возможные проблемы на ранних стадиях и предотвратить серьезные осложнения.
СОВЕТ №3
Обратите внимание на симптомы, которые могут указывать на проблемы в средостении, такие как боль в груди, одышка или постоянный кашель. Не игнорируйте эти признаки и обращайтесь к врачу для диагностики.
СОВЕТ №4
Поддерживайте здоровый образ жизни, включая сбалансированное питание и регулярные физические нагрузки. Это поможет укрепить сердечно-сосудистую систему и снизить риск заболеваний, связанных со средостением.



